
제약·바이오
제이엘케이, '두개내출혈 검출 AI 솔루션' 美 FDA 허가
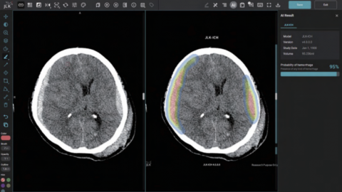
의료 인공지능(AI) 1호 상장기업 제이엘케이는 지난해 미국 FDA(식품의약국) 인허가를 신청했던 JLK-ICH(두개내출혈 검출 솔루션)가 보완사항 없이 승인(FDA 510(k))을 완료했다고 6일 밝혔다. 지난해 이미 한 해 동안 전립선암 솔루션 1개 획득에 이어 뇌졸중 솔루션에서만 3개 솔루션(JLK-LVO, JLK-CTP, JLK-PWI)의 승인을 획득한 제이엘케이는 이번 승인이 전체 5번째 FDA 획득이다. 특히 뇌졸중 분야에서만 4개 솔루션