
제약·바이오
亞 선진국 '일본' 시장 잡는다···K-바이오헬스 진출 러시
국내 바이오헬스 기업들이 일본 시장 진출에 속도를 내고 있다. 강스템바이오텍은 지방 줄기세포를 활용한 재생치료 사업을 시작했고, 메디포스트는 카티스템의 일본 임상3상을 진행 중이다. 의료AI 기업들도 활발히 진출하고 있으며, 일본의 고령화로 인한 의료 수요 증가는 한국 기업들에게 기회로 작용하고 있다.
[총 27건 검색]
상세검색
제약·바이오
亞 선진국 '일본' 시장 잡는다···K-바이오헬스 진출 러시
국내 바이오헬스 기업들이 일본 시장 진출에 속도를 내고 있다. 강스템바이오텍은 지방 줄기세포를 활용한 재생치료 사업을 시작했고, 메디포스트는 카티스템의 일본 임상3상을 진행 중이다. 의료AI 기업들도 활발히 진출하고 있으며, 일본의 고령화로 인한 의료 수요 증가는 한국 기업들에게 기회로 작용하고 있다.
제약·바이오
강스템바이오 "日 위원회서 1종 재생의료 승인···'아토피치료제' 연내 상용화 기대"
강스템바이오텍은 일본 후생노동성의 인증을 받은 특정인정재생의료등위원회로(이하 위원회)부터 제대혈 줄기세포를 이용한 1종 재생의료 제공계획에 대한 승인을 받았다고 11일 밝혔다. 일본은 재생의료사업의 선두국가로서 현지 의료기관에서 국내외 환자들을 대상으로 활발한 재생의료를 진행 중이다. 다만, 자가가 아닌 동종(타가) 줄기세포를 사용하는 1종 재생의료는 고위험군으로 분류돼 절차가 매우 까다롭고 복잡해 현재까지 승인사례가 전무
제약·바이오
강스템바이오, 지난해 손익 55% 개선···'기술이전·자회사 매각' 효과
강스템바이오텍은 24일 '매출액 또는 손익구조 30% 이상 변동' 공시를 통해 전년대비 연결 기준 당기순손실이 55% 감소하면서 재무건전성이 개선됐다고 밝혔다. 해당 공시에 따르면 강스템바이오텍의 당해 사업연도 매출액은 약 76억원, 당기순손실은 전년대비 55% 감소한 약 104억원을 기록했다. 손익 개선의 주요 요인으론 골관절염 치료제 오스카(OSCA)의 국내 라이선스 계약 체결에 따른 경상기술료 수령, 자회사 지분 매각, CDMO 사업 마일스톤 달
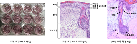
제약·바이오
강스템바이오, LG전자와 피부 오가노이드 기반 미용기기 평가 나서
강스템바이오텍은 최근 LG전자와 피부 오가노이드 모델을 통해 미용기기의 효능평가를 진행했다고 24일 밝혔다. 회사는 기존 피부 오가노이드의 한계점을 극복해 신뢰도 높은 새로운 평가방식을 제시했으며, 해당 연구는 P&K피부임상연구센타를 통해 대한화장품학회 학술대회에서 발표했다고 전했다. LG전자는 미용기기 효능에 대한 기전 등 과학적 근거를 확보하고자 강스템바이오텍의 피부 오가노이드를 적용한 효능평가를 요청했다. 이에 강
제약·바이오
'캐시카우' 확보한 강스템바이오, 신약 성과 남았다
강스템바이오텍이 캐시카우 확보와 동시에 신약개발 성과 내기에 속도를 내고 있다. 5일 전자공시시스템에 따르면, 강스템바이오의 3분기 매출 실적은 43억원으로 전년(93억원) 대비 반토막 났다. 자회사 매각, 일부 사업부 매출 하락 등이 영향을 줬다. 앞서 회사는 지난 4월 비임상 임상시험수탁기관(CRO) 사업을 담당하던 크로엔(현 HLB바이오코드) 지분 일부를 HLB바이오스텝에 매각하고 경영권을 넘겼다. 이를 통해 회사는 현금 14억원과 HL
제약·바이오
강스템바이오, 유영제약에 '골관절염 치료제' 기술이전···"최소 140억원 수령"
강스템바이오텍은 7일 골관절염의 근본적 치료를 목표로 개발 중인 줄기세포 기반 융복합제제 오스카(OSCA)에 대해 국내 근골격계 전문 제약사 유영제약과 라이선스 아웃 계약을 체결했다고 밝혔다. 이번 계약을 통해 강스템바이오텍은 반환의무가 없는 경상기술료로 계약금 20억원과 단기 마일스톤(단계별 경상기술료) 60억원을 포함해 최소 140억원을 받게 된다. 또 임상 과정 중 조건부 허가 등을 달성할 경우 별도의 추가 금액도 지급받는다. 유영
제약·바이오
강스템바이오, 'GMP센터' 세포처리시설 허가···"첨단재생의료사업 돌입"
강스템바이오텍은 최근 식품의약품안전처로부터 첨단재생의료 및 첨단바이오의약품 안전 및 지원에 관한 법률(이하 첨생법)에 따른 GMP센터의 첨단재생의료 세포처리시설(이하 세포처리시설) 허가를 취득했다고 11일 밝혔다. 회사는 금번 허가가 내년 2월부터 시행 예정인 '첨단재생의료 및 첨단바이오의약품 안전 및 지원에 관한 법률 일부개정안(이하 첨생법)'에 따른 국내 첨단재생의료사업 돌입을 위한 과정이라고 전했다. 첨단재생의료는 사람의
제약·바이오
강스템바이오 계열사, '화상치료제' 호주 임상 1/2a상 IND 승인
강스템바이오텍은 계열사 프리모리스테라퓨틱스의 엑소좀 기반 화상치료제 'PMS-101'이 호주 식품의약품안전청(이하 TGA)으로부터 1/2a상 임상시험계획(CTN)을 승인 받았다고 1일 밝혔다. 호주 CTN은 임상시험 개시를 위한 절차로 국내 임상시험계획(IND)과 동일하게 허가기관으로부터 승인 후 임상시험에 돌입할 수 있다. PMS-101은 줄기세포 유래 엑소좀 기반 화상치료제다. 엑소좀은 조직재생 및 염증억제 효능이 뛰어나, 손상부위의
제약·바이오
강스템바이오 '아토피치료제' 2차 투약 치료목적 사용 승인 획득
강스템바이오텍은 최근 아토피 피부염 줄기세포 치료제 '퓨어스템-에이디주'가 식품의약품안전처로부터 2차 투약 치료목적 사용승인을 받았다고 25일 밝혔다. 치료목적 사용승인은 생명이 위급하거나 대체치료수단이 없는 응급환자 등에게 치료기회를 제공하기 위해 개발 중인 의약품을 사용할 수 있도록 하는 제도다. 이번 치료목적 사용승인은 퓨어스템-에이디주의 두 번째 사용승인으로, 지난 4월 승인을 받고 투약을 진행한 기관과 투약대상 환자가
제약·바이오
강스템바이오텍, 다국적 제약사와 글로벌 파트너링
강스템바이오텍은 최근 미국에서 열린 바이오 USA(BIO International Convention 2024)에서 파트너링 미팅을 진행한 글로벌 제약사와 사업적 협의가 계속 진행될 것이라고 12일 밝혔다. 회사에 따르면, 미국, 유럽, 중국, 일본 등 여러 지역의 20여 개 다국적 제약사가 퓨어스템 치료제와 오가노이드 기술에 높은 관심을 보였다. 이번 미팅에서 강스템바이오텍은 임상 3상 결과 발표를 앞둔 아토피 줄기세포 치료제 '퓨어스템-에이디주'를 중심으로 논의했다
+ 새로운 글 더보기